Contact Us On
- +961 70 285 191
- aarabah8@gmail.com
- Beirut, Badaro
Address
- Beirut, Badaro, Military Hospital St, Al Khalil Bldg, 1st Floor, Beirut, Lebanon
- Outdoor Parking is available at our building
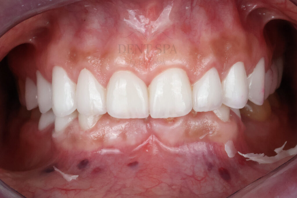
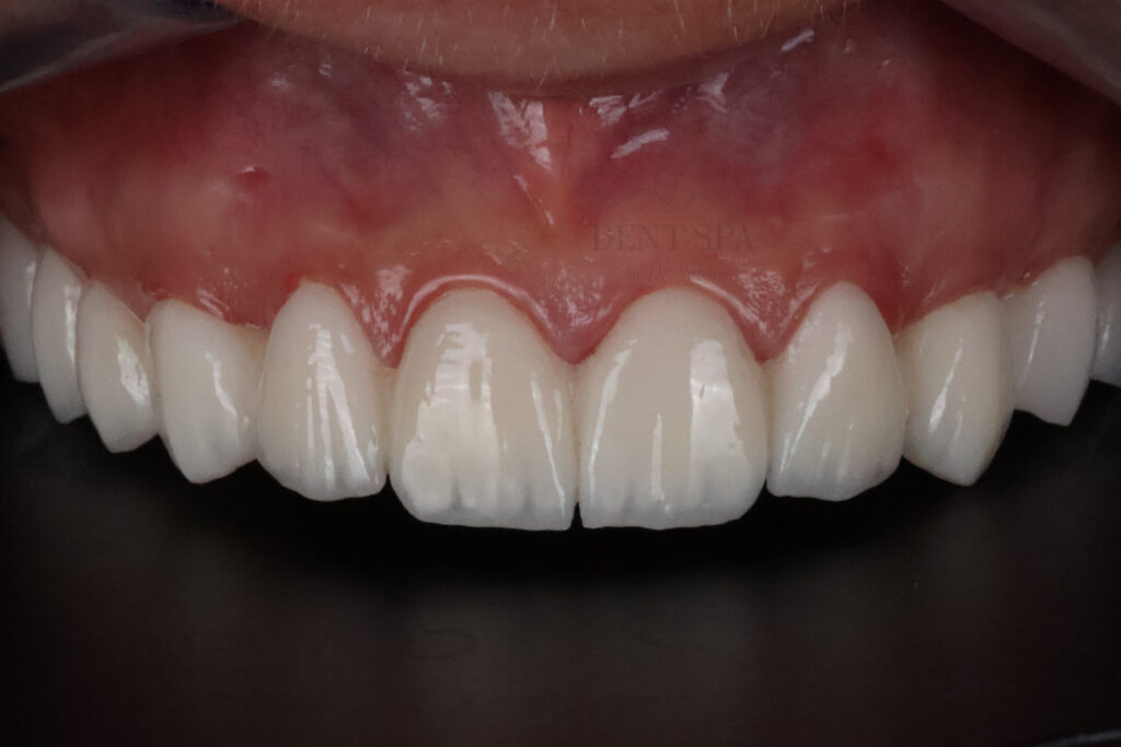
Achieve a radiant, bright smile.
Ultra-thin porcelain layers designed to enhance the shape, size, and color of your teeth while preserving natural structure.
Customized treatments for a flawless look.
Long-lasting results with minimal wear.
Preserves more of your natural tooth structure.
Keeps your smile bright and white for years
A comfortable and reassuring environment for young patients
Fluoride applications and sealants to protect teeth from decay
Monitoring and guiding proper dental development